O sialoadenoma papilífero (SAP) é uma neoplasia benigna rara das glândulas salivares, caracterizada por crescimento papilífero exofítico, com diferenciação ductal.
Etiologia
Embora sua etiologia permaneça indefinida, estudos recentes demonstraram a presença recorrente da mutação BRAF V600E, sugerindo um possível papel na patogênese da lesão.
Características Clínicas
Acomete preferencialmente as glândulas salivares menores, com predileção pela mucosa do palato e do lábio, embora também possa surgir em outras localizações, como língua, assoalho bucal e palato mole. Clinicamente, apresenta-se como lesão exofítica, papilífera, séssil ou pediculada, de crescimento lento e comportamento indolente.
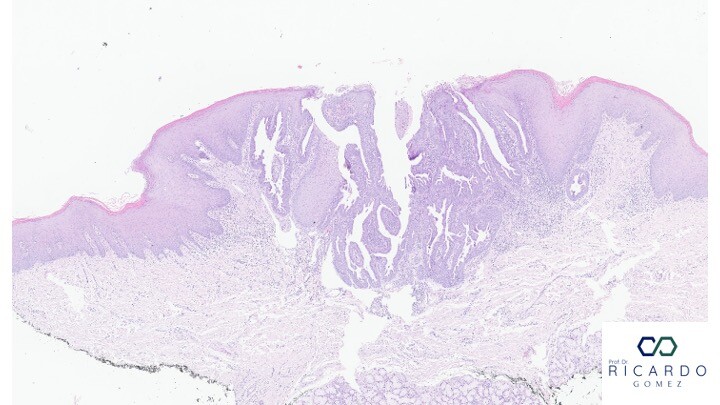
Características Histopatológicas
Microscopicamente, o SAP mostra padrão de crescimento papilar, com projeções epiteliais exofíticas e endofíticas contínuas com os ductos salivares. As projeções epiteliais são compostas por duas ou mais camadas celulares, frequentemente com diferenciação ductal, escamosa ou oncocítica. As papilas comunicam-se com a mucosa de superfície e possuem eixos fibrovasculares. O estroma subjacente é fibroso, com infiltrado inflamatório crônico de intensidade variável. A pesquisa da mutação BRAF V600E pode auxiliar o diagnóstico em casos de morfologia atípica ou lesões mimetizantes.

Figura 1- Sialoadenoma papilífero de glândula salivar menor. Observa-se crescimento exofítico com projeções papilíferas epiteliais contínuas com a mucosa de revestimento.

Figura 2- Em maior aumento, observamos projeções papilares contendo células com diferenciação ductal e são sustentadas por um tecido conjuntivo fibroso com vasos e infiltrado inflamatório secundário.
Tratamento
O tratamento é cirúrgico e, quando completamente excisado, o risco de recidiva é bastante raro.
Leitura complementar:
1- Brannon RB, Sciubba JJ, Giulani M. Ductal papillomas of salivary gland origin: A report of 19 cases and a review of the literature. Oral Surg Oral Med Oral Pathol Oral Radiol Endod. 2001;92:68-77.
2- Chen S, Peng J, Yuan C, Sun L, Zhang R, Sun Y. Sialadenoma papilliferum: clinicopathologic, Immunohistochemical, molecular analyses of new five cases and review of the literature. Diagn Pathol. 2021;16:22.
3-Fowler CB, Damm DD. Sialadenoma Papilliferum: Analysis of Seven New Cases and Review of the Literature. Head Neck Pathol. 2018 12:193-201.
5- Wertheimer FW, Bonk K, Ruskin WJ. Sialoadenoma papilliferum. Int J Oral Surg. 1983;12:190-3.
Conheça nossos cursos
